|
“杀鱼弟”服毒自杀,为何百草枯之毒难以救治?蝌蚪五线谱 2018-08-15 |

2010年走红网络的“杀鱼弟”。图片来源:新浪
近日,网红“杀鱼弟”服百草枯自杀的新闻,牵动着大家的心。
目前,“杀鱼弟”小孟已住进济南齐鲁医院,尽管医生采取了各种抢救措施,情况依旧不太乐观。该院中毒与职业病科主任菅向东表示,检查结果显示小孟肾脏受到了严重的损坏,已经进入尿毒症期,肺也受到了损害。
这不由让人想起年初的一则更令人唏嘘的新闻:一中年男子因一时想不开喝下了网购的百草枯,后虽被及时送入鄞州人民医院,但该男子依旧于十天后离世。治疗期间,医生使用了各种措施,却仍无能回天。
两起惨剧当中,“罪魁祸首”都是百草枯。百草枯究竟是什么?它是除草剂,又是如何杀人的呢?

商品百草枯
百草枯,化学名称是1-1-二甲基-4-4-联吡啶阳离子盐(英文缩写PQ),也叫对草快、克芜踪、巴拉刈,最早由英国帝国化学工业集团(世界最大农药企业先正达SyngentaAG的前身)研发而成。第一支商品化的百草枯于1962年在英国上市销售,一经问世便以其高效的除草能力风靡全球,迅速成为世界第二大除草剂。在上世纪八九十年代,百草枯的生产一直被外国企业垄断着,我国全部依赖进口且价格昂贵。1996年,时任山东省农药研究所(现山东省农药科学研究院)副所长的李德军(现为山东省农药科学研究院院长、党委书记)为解决这个问题开始了百草枯的研究课题。经过多年的努力,李德军终于成功攻克百草枯的生产难题,自此我国具备了自主生产的能力,李德军也被称为“中国百草枯之父”。

中国百草枯之父——李德军
百草枯的除草机理是它的分子(PQ)极易溶于水,可以迅速进入植物细胞,直达细胞合成营养物质的地方——叶绿体。在进入叶绿体后,PQ2+离子可以从两个渠道破坏叶绿体,首先它可以与原本应该和烟酰胺腺嘌呤二核苷酸磷酸(NADP+)结合的电子结合,生成PQ+,然后继续与O2结合,生成超氧自由基,诱发植物体内产生脂自由基,分解不饱和脂肪酸,破坏光合膜系统,其次超氧自由基还可以产生H2O2和毒性更大的羟自由基•OH,引起更大危害。植物体内虽然有能消除这些自由基的酶保护系统,但自由基生成速度远远超过消除速度,毒害不断累计,最终引起植物死亡。

绿色植物光合作用示意图
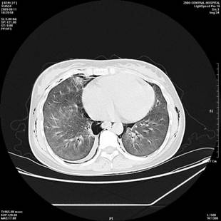
而百草枯杀人的机理也与之类似,当人们服下百草枯后,百草枯可以从消化道迅速进入血液,进而被运输到身体各处,其中就包括我们的肺。肺因为存在胺类物质的转运系统,而PQ的结构与二胺、多胺、二胺二硫胱胺的结构类似,肺泡无法有效地识别它们,所以PQ会被肺泡大量的摄入。进入肺里的PQ与进入叶绿体一样,会生成很多自由基,然后与氧分子反应生成超氧自由基,再经超氧化物歧化酶歧化形成过氧化氢,进一步形成毒性更高的羟自由基,直接损害细胞结构。此外,PQ还可以抑制肺内脂肪酸的合成,大量消耗掉肺里一种叫做还原型辅酶Ⅱ(NADPH)的物质,许多依赖NADPH参与的反应都无法进行,最终导致肺纤维化,功能衰竭,患者死亡。

百草枯致肺纤维化CT图
那么,百草枯中毒有没有解药呢?很遗憾,没有。不仅如此,百草枯的制毒剂量还极低,人经口致死量约30-40mg/kg,皮肤长期暴露于高于5mg%的百草枯溶液也可致死,若皮肤有破损,则低于此浓度也可引起致死性中毒。一旦误服百草枯,要立刻送医,决不能等,同时要减少患者对毒药的吸收量,如冲洗皮肤,促进患者排尿,并用抗自由基等药物治疗,严重的还需要血液透析。但即便如此,据统计,口服百草枯的患者几乎没有生还可能性,皮肤接触的如果处理及时还是能治愈的。
当年研发百草枯生产工艺的李德军老师自研发成功之日起,每年也都会收到很多自杀者家属或医生的求助,有的人质疑李老师既然能研究出生产百草枯的工艺,为什么不能研究出解药。在这得为李老师说句公道话,人家研究百草枯的目的是为了除草,那些自杀的人非要当毒药喝,还怨他不研究出解药,实在是没道理。而且后来李老师为了尽可能地挽救自杀者的生命,还研发出了新的颗粒剂型,这种颗粒剂型加入水中不会立刻溶解,从而给自杀的人留出了足够的冷静的时间,结果还是有人专门等它溶解了再喝下去,实在是不知该说什么好。
正是因为百草枯具有如此强烈的毒性,2012年4月24日,农业部、工业和信息化部、国家质检总局联合颁布了第1745号公告,对百草枯采取限制性管理措施。自2014年7月1日起,撤销百草枯水剂登记和生产许可、停止生产,保留母药生产企业水剂出口境外使用登记、允许专供出口生产,2016年7月1日停止水剂在国内销售和使用。但因为百草枯的除草效果实在太好了,至今都有人通过非法的渠道销售着,除了督促有关部门加大查处力度外,大家凡事千万不要冲动,以免一失足成千古恨。
责任编辑:sun
下一篇:五阿哥是怎么了?
科普中国APP
科普中国微信
科普中国微博

最新文章
-
为何太阳系所有行星都在同一平面上旋转?
新浪科技 2021-09-29
-
我国学者揭示早期宇宙星际间重元素起源之谜
中国科学报 2021-09-29
-
比“胖五”更能扛!我国新一代载人运载火箭要来了
科技日报 2021-09-29
-
5G演进已开始,6G研究正进行
光明日报 2021-09-28
-
“早期暗能量”或让宇宙年轻10亿岁
科技日报 2021-09-28
-
5G、大数据、人工智能,看看现代交通的创新元素
新华网 2021-09-28








