|
你的枕头枕对了吗邯郸市中医院 2019-04-26 作者:主治医师 朱步奇 |

目前大家可能都知道了颈椎保健枕的重要性,很多人都开始使用了颈椎保健枕,但是市面上琳琅满目的颈椎保健枕究竟哪款更适合你,你们枕头究竟枕对了没有,下面我们就一一道来。
第一个问题:我们为什么要枕颈椎保健枕?
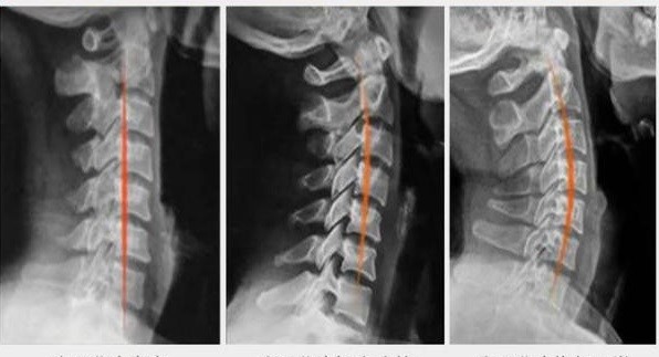
对于颈椎来说,最重要的一个东西叫做弧度,因为我们正常的颈椎是像下图最右侧一样的,而我们很多人去体检的时候可能经常听说过生理曲度变直这样的词语,所谓生理曲度变直就是像下图中中间和左边的一样。

为什么会出现那么多生理曲度变直的情况,最大的原因就是随着智能手机的出现,大家养成了经常低头的习惯,经常低头最大的危害会让颈椎承受更大的压力,有人曾经做过试验,当颈椎屈曲60度时,颈椎会承受将近四倍头部的重量,而这就是出现颈椎提前老化,椎间盘突出的重要原因。

而我们一生的三分之一时间都在睡觉,所以通过睡眠姿势调整来恢复颈椎的曲度就变得十分重要,下面小朱医生就告诉大家应该怎么选适合自己的枕头,咱们用一张图片来说明。

首先我们睡觉分为三种姿势,一种是仰卧,一种是侧卧,而一种是俯卧,大家采用俯卧姿势睡眠习惯的应该是少数,而且不推荐俯卧睡眠,因为俯卧睡眠会让你的颈椎旋转向一个方向,引起颈椎小关节的压力过大,所以推荐的睡眠姿势为仰卧或者侧卧。
当仰卧时,我们最重要的就像上图左图一样,将枕头垫至肩膀以下,不是垫到后脑勺的位置,大家可以想象一下,当枕头垫到后脑勺之后颈椎还是处于低头的位置,并不能恢复颈椎的弧度,所以只有当枕头垫到肩膀以下时,才能够对颈椎弧度有所恢复。
当侧卧时,最重要的是颈椎的高度,据我观察,很多枕头在侧卧时高度都会过低,当高度过低时颈椎会形成侧弯的姿势,这样也是极其不正确的,会让颈椎两侧的肌肉力量长期不均衡,诱发各种颈椎疾病,而最合适的高度就是为肩宽的一半,而最好的方法就是自己躺在枕头上去试一试,所以仰卧与侧卧对于枕头来说同样重要。
一个好的枕头会让你的颈椎得到充分的休息,并且能够在睡眠中纠正你颈椎的问题,所以正确的枕头是非常非常重要的。
我是小朱医生,一个只教干货的骨科医生。
责任编辑:李华慧
科普中国APP
科普中国微信
科普中国微博

最新文章
-
为何太阳系所有行星都在同一平面上旋转?
新浪科技 2021-09-29
-
我国学者揭示早期宇宙星际间重元素起源之谜
中国科学报 2021-09-29
-
比“胖五”更能扛!我国新一代载人运载火箭要来了
科技日报 2021-09-29
-
5G演进已开始,6G研究正进行
光明日报 2021-09-28
-
“早期暗能量”或让宇宙年轻10亿岁
科技日报 2021-09-28
-
5G、大数据、人工智能,看看现代交通的创新元素
新华网 2021-09-28








